Treatment of Pneumomediastinum by Aspiration Using an Induced Pneumothorax
Mohammed Raoufi1*, Youssef Chaoui2, Hicham Sator3, Zaineb Baroudi3, Asmaa Ajbal3 and Mohamed El Maqri4
1Doctor, Pulmonary Diseases Department, Regional hospital center, dakhla hospital, Morocco
2Doctor, Surgery Diseases Department, Regional hospital center, dakhla hospital, Morocco
3Doctor, Radiology Diseases Department, Regional hospital center, dakhla hospital, Morocco
4Doctor, anesthesia Diseases Department, Regional hospital center, dakhla hospital, Morocco
Submission: October 31, 2025; Published: December 15, 2025
*Corresponding author: Mohammed Raoufi, Doctor, pulmonologist, Pulmonary Diseases Department, Regional hospital center, dakhla hospital, Morocco
How to cite this article: Mohammed R, Youssef C, Hicham S, Zaineb Baroudi3, Asmaa A, et al. Treatment of Pneumomediastinum by Aspiration Using an Induced Pneumothorax. Int J Pul & Res Sci. 2025; 8(2): 555733.DOI: 10.19080/IJOPRS.2025.08.555733
Abstract
Background: Pneumomediastinum is the presence of air in the mediatisnal space, it can be spontaneous or secondary to thoracic pathology or trauma. The diagnosis and management must be rapid to avoid complications.
Case presentation: A 30-year-old man was admitted to the pneumology department for dyspnoea, general fatigue and weight loss. Physical examination reveals rales and crackles in both lung fields, with hypoxia. An infectious syndrome on the biological balance sheet, in particular a high PCR, white blood cells and procalcitonin are high in the blood. A rapid HIV test was positive confirmed by serology. The chest X-ray and the chest CT scan revealed signs in favor of pneumocystosis, as well as the presence of a diffuse anterior pneumomediastinum. Given the hypoxia, we were unable to perform the bronchoscopy. The evolution was marked by the constitution of a subcutaneous emphysema spreading quite quickly in the cervical and anterior thoracic regions. The non-resolution spontaneously and under oxygen motivated the team to perform an iatrogenic pneumothorax and to connect the chest drain to a gentle suction system. After 1 month of continuous aspiration and treatment of the pneumocystosis as well as the HIV virus infection, a chest CT scan was performed which showed complete resolution of the pneumomediastinum. The drain was removed and the patient was discharged unnecessarily on oxygen.
Conclusion: Pneumomediastinum remains a rare clinical manifestation. This condition can be spontaneous or secondary to trauma or airway pathology. The aim of this work is to reveal a fairly rare form of pneumomediastinum secondary to pneumocystosis, and to demonstrate the need sometimes to treat subcutaneous emphysema with an induced pneumothorax.
Keywords:Pneumomediastinum; Pneumothorax; Subcutaneous emphysema; Chest X-ray; Endobronchial pressure
Abbreviations:PCR: Polymerase Chain Reaction; HIV: Human Immunodeficiency Virus; CT: Computed Tomography; SPM: Spontaneous Pneumomediastinum
Background
Pneumomediastinum, also known as mediastinal emphysema, is a condition in which air is present in the mediastinum (the space in the chest between the two lungs). This can be caused by a traumatic injury or in association with pneumothorax or other diseases.
Case report
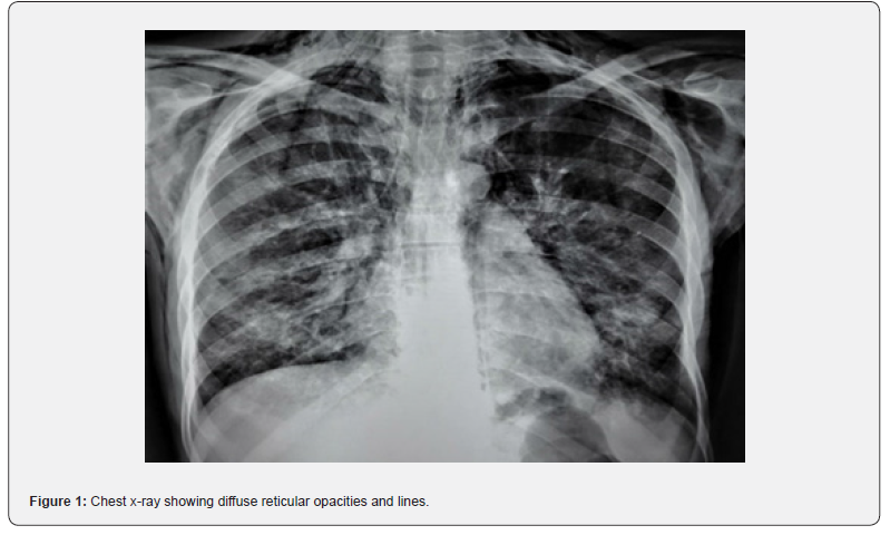
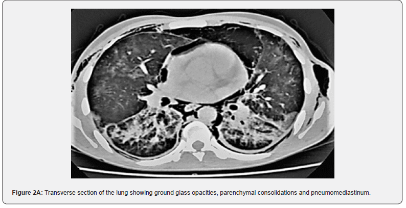
A 30-year-old man was admitted to the emergency room for stage 3 dyspnoea of the MRC classification, with signs of chest muscle tightness, fever at 39° and sweating. After conditioning and stabilizing the patient on the ventilatory level, the physical examination showed crackles on pulmonary auscultation, heart sounds were well perceived, there was no abnormality in the rest of the ‘physical examination. Oxygen saturation was low at 89% in room air. Blood pressure was 110/08mmHg. Chest x-ray showed diffuse nodular opacities in both lung fields as well as reticular lines (Figure 1). Chest CT showed left basal consolidation and scattered ground glass hyper densities in both lungs (Figure 2A and 2B). The biological assessment showed white blood cells at 13,000 e/mm3, a CRP at 100mg/l. A rapid test for positive HIV infection that has been confirmed by serology after patient consent. Normal liver and kidney function.


The evolution was marked by the appearance of a worsening of the pneumomediastinum and the appearance of subcutaneous emphysema in the neck, face and in the anterior region of the thorax (Figure 3). The patient was placed on a high flow of oxygen in order to promote the resorption of the subcutaneous emphysema, but the latter continued to increase in volume. After discussing the file with the thoracic surgeons, it was decided to install a left chest drain and connect it to a gentle suction system. The patient remained for one month under gentle aspiration and under treatment with sulfamethoxazole and trimethoprim as well as tenofovir, lamivudine and dolutegravir after 15 days of treatment for pneumocystosis. The evolution was marked by the regression of the subcutaneous emphysema and by the improvement of the oxygen saturation, as well as the improvement of the chest scanner (Figure4).



Discussion
Pneumomediastinum is air in the mediastinum. The mediastinum is the space in the middle of the chest. It occurs when air leaks from any part of the lung or airways into the mediastinum. There are two types of pneumomediastinum described in the literature, spontaneous pneumomediastinum (SPM) and pneumomediastinum secondary to trauma or medical intervention. This pathophysiological mechanism was described by Macklin et al. [1] in 1944, and is known as the Macklin effect. who believed that alveolar ruptures lead to air infiltration along the broncho vascular sheaths, which together with the eventual spread of this pulmonary interstitial air, could lead to increased pressure in the chest cavity.
Indeed, the increase in endobronchial pressure leads to an increase in alveolar pressure and air can reach the interstitial spaces and the broncho vascular axes and infiltrate via the pulmonary hiles into the deep subcutaneous and cervical spaces [1-2]. There may also be an infiltration of air to the pericardium and give a pneumo-pericardium or through the epidural space and give a pneumorachis. The breach can also be peripheral and cause a pneumothorax. The increase in endobronchial pressure may be due to a bronchial obstacle such as a severe asthma attack or inhalation of a foreign body [3-4], or during mechanical ventilation, coughing effort, vomiting, Valsalva maneuver including defecation or hemlish method [5-6]. Voluntary ingestion of cocaine, marijuana or ecstasy can also give rise to pneumomediastinum [7-8]. Pneumomediastinum can also occur with direct damage to the alveolar walls. This is the case of bacterial, viral or even parasitic pneumopathies such as pneumocystosis in immunocompromised patients [9-10]. Tuberculous miliaria or diffuse interstitial pneumonitis can also be complicated by pneumomediastinum [11].
In our case, the pneumomediastinum occurred because of an alveolar breach caused by an alveolar cyst secondary to pneumocystosis. The clinical presentation of pneumomediastinum is generally manifested by sudden retrosternal pain, cough or neck pain [12]. Dyspnea, dysphagia or fever are elements that point to the rupture of the aero-digestive tract or mediastinitis, which is a therapeutic emergency. In our case dyspnea, fever and hypoxia were at the forefront. The clinical examination highlights in the majority of cases a subcutaneous emphysema which results in a swelling of the thorax or the neck, and by a sound of crepitation on palpation of the skin. The chest X-ray shows fine linear clarity, air sometimes delimits the aortic button and the ascending aorta [13-14], the sign of the continuous diaphragm or the flying thymus in children is not constant. In the profile shot, the air is in the form of a retro-sternal clarity. The chest x-ray may also show signs of subcutaneous emphysema or pneumothorax. However, 30% of pneumomediastinum are not recognized on chest radiography [15].
The realization of the thoracic scanner is often necessary especially if the patient presents a chronic pathology, or if there is a suspicion of oesophageal rupture. It shows the pneumomediastinum in a precise way where air is detected over the entire anatomical tract of the mediastinum [16]. Esophageal transit with water-soluble fluids is necessary if there is a suspicion of esophageal rupture, it shows extravasation of the contrast product. The evolution of spontaneous pneumomediastinum is generally towards resorption in 48 to 96 hours by the passage of air into the bloodstream, this passage is accelerated if the patient is put on oxygen thanks to the theory of the diffusion of nitrogen [17]. The management of pneumomediastinum depends on the severity of the clinical presentation and the volume of it on the chest CT scan, as well as possible complications which may be compression of adjacent structures or air infiltration to the different spaces. life-threatening.
Treatment of spontaneous pneumomediastinum without obvious causes is usually symptomatic; painkillers, oxygen, bronchodilators, and sometimes antibiotics can effectively push air back into the mediastinum. However, if there are complications such as compression of the heart and vessels, pneumo-pericardium, pneumorachis or air infiltration in the retro-pharyngeal or retro-peritoneal space, the use of surgical drainage is recommended [15-16]. Thoracic drainage when there is a pneumothorax is relatively simple, but when there is no pneumothorax, recourse to the creation of iatrogenic pneumothorax by the surgeon under supervision in the operating room remains necessary. In our case, the patient was well drained and put under suction with good evolution.
Conclusion
Pneumomediastinum is a fairly rare manifestation but constitutes a diagnostic and therapeutic emergency.
Management of the underlying etiology allows complete resorption of the pneumomediastinum.
References
- Macklin MT, Macklin CC (1944) Malignant interstitial emphysema of the lungs and mediastinum as an important occult complication in many respiratory diseases and others conditions: an interpretation of the clinical literature in the light of laboratory experiment. Medicine 23(4): 281-358.
- Langwieler TE, Steffani KD, Bogoevski DP, Mann O, Izbicki JR (2004) Spontaneous pneumomediastinum. Ann Thorac Surg 78(2): 711-713.
- Stack AM, Caputo GL (1996) Pneumomediastinum in childhood asthma. Pediatr Emerg Care I2(2): 98-101.
- Grum CM, Lynch JP (1992) Chest radiographic findings in cystic fibrosis. Semin Respir Infect 7(3): 193-209.
- Rey C, Alvin P, Pariente D, Courtecuisse V (1994) Pneumomediastin chez une jeune fille anorexique. Arch Pediatr 1(7): 652-654.
- O'Sullivan AJ, Casey JH (1997) Spontaneous pneumomediastinum and diabetic ketoacidosis. Med J Aust 166(5): 245-246.
- Moore GM, Baker J, Bui T (1996) Psychogenic vomiting complicated by marijuana abuse and spontaneous pneumomediastinum. Aust N Z J Psychiatry 30(2): 290-294.
- Orwudike M (1996) Ecstasy induced retropharyngeal emphysema. J Accid Emerg Med 13(5): 359-361.
- Rumbak MJ, Wirier-Muram HT, Beals DH, Fry P (1992) Tension pneumomediastinum complicating pneumocystis carinii pneumonia in acquired immunodeficiency syndrome. Crit Care Med 20(10): 1492-1494.
- Tutor JD, Montgomery VL, Eid NS (1995) A case of influenza virus bronchiolitis complicated by pneumomediastinum and subcutaneous emphysema. Pediatr Pulmonol 19(6): 393-395.
- Yule SM, Hamilton JR, Windebank KP (1997) Recurrent pneumomediastinum and pneumothorax in Langerhans cell histiocytosis. Med Pediatr Oncol 29(2): 139-142.
- Koullias GJ, Korkolis DP, Wang XJ, Hammond GL (2004) Current assessment and management of pneumomediastinum: experience in 24 adult patients. Eur J Cardiothorac Surg 25(5): 852-855.
- Jougon JB, Ballester M, Delcambre F, Mac Bride T, Dromer CE, et al. (2003) Assessment of spontaneous pneumomediastinum: experience with 12 patients. Ann Thorac Surg 75(6): 1711-1714.
- Freixinet J, Garcia F, Rodriguez PM, Santana NB, Quintero CO, et al. (2005) Spontaneous pneumomediastinum long-term follow-up. Respir Med 99(9): 1160-1163.
- Kaneki T, Kubo K, Kawashima A, T Koizumi, M Sekiguchi, et al. (2000) Spontaneous pneumomediastinum in 33 patients: yield of chest computed tomography for the diagnosis of the mild type. Respiration 67(4): 408-411.
- Avaro JP, D'Journo XB, Hery G, Marghli A, Doddoli C, et al. (2006) Spontaneous pneumomediastinum in young adults: a benign clinical entity. Rev Mal Respir 23(1 Pt 1): 79-82.
- Sonu S, Sameer V, Jinette G, Anthony E, Purvesh P, et al. (2013) Spontaneous Pneumomediastinum: Time for Consensus. N Am J Med 5(8): 460-464.

















