Osteoclastoma-Like Giant Cell Tumour of the Liver – First Reported Case from Kuwait
Fahad Al-Enezi, Muath Alnassar, Jinan M Abdulla, Asit Kumar Mohanty*
Department of Medical Oncology, KCCC, Kuwait
Submission: December 20, 2021; Published: January 04, 2022
*Corresponding Address: Asit Kumar Mohanty, Department of Medical Oncology, KCCC, Kuwait
How to cite this article: Fahad A-E, Muath A, Jinan M A, Asit Kumar M. Osteoclastoma-Like Giant Cell Tumour of the Liver – First Reported Case from Kuwait. Canc Therapy & Oncol Int J. 2022; 20(3): 556039. DOI:10.19080/CTOIJ.2022.20.556039
Abstract
Giant cell rich hepatic tumors are divided into two types of mesenchymal and epithelial. Mesenchymal tumors are uncommon. Osteoclastoma-like giant cell tumor of the liver is an extremely rare mesenchymal hepatic tumor with very poor prognosis. To the best of our knowledge, only 12cases have been reported in the English literature so far. Our case was a 64-year-old woman presented with abdominal pain with osteoclast-like giant cell tumor of the liver that arose in the non-cirrhotic liver is presented. The liver tests were almost normal, and plasma levels of alpha-fetoprotein and carcinoembryonic antigen were within normal limits. The findings of PET CT and CT scans are described for the first time for this rare neoplasm, showing a large, unresectable liver tumor. Histologically, the tumor mainly consisted of osteoclast-like giant cells and mononuclear cells, which were focally arranged in a vaguely trabecular pattern and sarcomatous pattern. The liver OGCT responded in one case to a combination of carboplatin, etoposide and paclitaxel.
Keywords: Osteoclastoma-like giant cell tumor
Introduction
Giant cell tumors are mesenchymal neoplasms primarily seen in bone and soft tissues; but they have also been rarely reported from other organs such as thyroid, gall bladder, and pancreas [1]. Occurrence of this type of tumor in the liver is an extremely rare event and to the best of our knowledge, only 12 cases have been reported in the English literature [2-5]. Herein, we report our experience with an aggressive giant cell rich non-epithelial mesenchymal tumor in the liver (osteoclastoma-like giant cell tumor) in a 64-year-old female as the first case reported in Kuwait and 13th case worldwide [8,9].
Case Presentation
A 64-year-old woman presented with abdominal pain. Her past medical history was unremarkable. Her physical examination was also unremarkable. The heart and the lung were normal. There was hepatomegaly but no splenomegaly in abdominal examination. The head and neck examinations were also normal. There was no sign of icterus, cyanosis. Laboratory examination showed WBC = 9000/mL, Hb = 13 g/dL, and platelet = 250,000/mL. ALT, AST, GGT, and alkaline phosphates were all unremarkable. Tumour markers of CEA, CA125, CA19-9 and AFP were all in normal range. Colonoscopy was normal and CT scan showed an enlarged liver with a large mass in the right lobe of the liver with irregular borders and central necrosis, measuring 14 cm in the greatest diameter. A few smaller lesions were also present. Portal vein thrombosis was also identified. Non-tumoral liver was unremarkable, meaning that there was no underlying disease in the non-tumoral liver parenchyma (Figure 1). CT chest was normal with no bony metastasis.
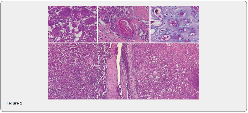
She underwent liver biopsy on 14th December 2020 which showed malignant tumour rich in osteoclast like giant cell. giant cell rich hepatic tumours are divided into two types of mesenchymal and epithelial origin, epithelial markers are negative suggestive of osteoclastoma like giant cell of liver. Microscopic sections showed bloody background with many osteoclast-like giant cells intermingled with mononuclear cells (Figure 2), which were reactive with CD68 and vimentin but nonreactive with all the epithelial markers. The histopathologic findings were very similar to giant cell tumor of the bone. Many mitotic figures were present in the atypical pleomorphic mononuclear cells, with high Ki6 After the pathological diagnosis she received oral TKI agent Lenvatinib for 3 months then she passed away due to jaundice and renal failure.
Discussion
Osteoclastoma-like giant cell tumor of the liver is an extremely rare tumor in the liver so that only 12 cases have been reported in the English literature since 1980. The first case was reported by Munoz in 1980 [1]. All the reported patients including ours were older than 50 years. It does not seem to have any sex preferences, and it is equally distributed in females and males. All the previously reported cases, except two, have been in the liver with no underlying disease. The first reported case in 1980 by Munoz was observed in a patient with alcoholic cirrhosis who presented symptoms of portal hypertension [1]. The other case autopsied and reported by Zhang was also a cirrhotic patient with no definite cause [5]. The most common presenting symptom has been abdominal pain, however one case was incidentally detected.


Microscopic examination of all reported cases showed osteoclast-like giant cells with abundant eosinophilic cytoplasm and a variable number of nuclei, mixed with malignant pleomorphic mononuclear cells and haemorrhagic background. The most important point in histopathology of this tumour is the differential diagnosis of hepatocellular carcinoma rich in osteoclast like giant cells, which shows positive epithelial markers instead of mesenchymal [6]. These tumours, which have most commonly been reported in pancreas, sometimes have typical areas of carcinoma [7].
Osteoclast-like giant cell tumors of the liver are also generally large and inhomogeneous neoplasia’s, ranging from 5 to 12 cm in size. Tumors typically feature necrotic or hemorrhagic regions and may also show cystic structures [8-19]. As published reports mainly focused on histopathology, radiological findings have only been documented in single cases. Magnetic resonance imaging in one case demonstrated a 10 cm large, well circumscribed heterogeneous solid mass with multiple fluid-like regions representing cystic components or necrosis on T1-weighted images [17]. Positron emission tomography scan in the same patient showed fluorine-18 f fluorodeoxyglucose-uptake within the tumor [17]. In another patient, computed tomography described a 6 cm homogenous and hypervascularised tumor, which after resection presented as an inhomogeneous tumor with hemorrhagic and necrotic areas [18]. The average age of patients with osteoclast-like giant cell tumors of liver is around 60 years, ranging from 28 to 88 years same as in our case.
In our case the size of tumour was quite larger, larger than all reported cases. All the previously reported cases of osteoclastomalike giant cell tumour of the liver expired shortly after surgery or chemotherapy indicating that the disease has a very poor prognosis. Previous reports have demon- started that these tumors are uniformly very aggressive and that survival ranges from 1 to 10 Mo [8-18]. To date, there is only one report of chemotherapy and radiotherapy in the management of osteoclast-like giant cell tumors. Hood et al treated a patient with recurrent liver tumor with a combination of chemotherapy (5-fluorouracil and Adriamycin), external beam radiation and radio immunotherapy (I131-labeled ant ferritin immunoglobulin [IgG]) but could only achieve a partial response for several months [12]. In our case we treated the patient with Lenvatinib with a survival of 4 months in total.
In conclusion, the histopathological features of these rare tumors have been precisely described in recent years, providing the basis for correct histological classification. These are extremely rare tumors with poor survival. we presented this case for its rarity.
References
- Munoz PA, Rao MS, Reddy JK (1980) Osteoclastoma-like giant cell tumor of the liver. Cancer 46(4): 771-779.
- Horie Y, Hori T, Hirayama C, Hashimoto K, Yumoto T, et al. (1987) Osteoclast-like giant cell tumor of the liver. Acta Pathol Jpn 37(8): 1327-1335.
- Rudloff U, Gao ZQ, Fields S, Gecelter GR (2005) Osteoclast-like giant cell tumor of the liver: a rare neoplasm with an aggressive clinical course. J Gastrointest Surg 9(2): 207-214.
- Bauditz J, Rudolph B, Wermke W (2006) Osteoclast-like giant cell tumors of the pancreas and liver. World J Gastroenterol 12(48): 7878 -7883.
- Zhang S (2006) Osteoclast-Like Giant Cell Tumor Of The Liver: A Case Report and Literature Review. Internet J Pathol 6: 1.
- Dahm HH (2015) Immunohistochemical evaluation of a sarcomatoid hepatocellular carcinoma with osteoclastlike giant cells. Diagn Pathol 10: 40.
- Kuwano H, Sonoda T, Hashimoto H, Enjoji M (1984) Hepatocellular carcinoma with osteoclast-like giant cells. Cancer 54(5): 837-842.
- Munoz PA, Rao MS, Reddy JK (1980) Osteoclastoma-like giant cellbtumor of the liver. Cancer 46(4): 771-779.
- Kuwano H, Sonoda T, Hashimoto H, Enjoji M (1984) Hepatocellular carcinoma with osteoclast-like giant cells. Cancer 54(5): 837-842.
- Andreola S, Lombardi L, Scurelli A, Bersiga A (1985) Osteoclastoma- like giant-cell tumor of the liver. Case report. Tumori 71(6): 615-620.
- Horie Y, Hori T, Hirayama C, Hashimoto K, Yumoto T, et al. (1987) Osteoclast-like giant cell tumor of the liver. Acta Pathol Jpn 37(8): 1327-1335.
- Hood DL, Bauer TW, Leibel SA, McMahon JT (1990) Hepatic giant cell carcinoma. An ultrastructural and immunohistochemical study. Am J Clin Pathol 93(1): 111-116.
- Haratake J, Yamada H, Horie A, Inokuma T (1992) Giant cell tumor-like cholangiocarcinoma associated with systemic cholelithiasis. Cancer 69(10): 2444-2448.
- McCluggage WG, Toner PG (1993) Hepatocellular carcinoma with osteoclast-like giant cells. Histopathology 23(2): 187-189.
- Sasaki A, Yokoyama S, Nakayama I, Nakashima K, Kim YI, et al. (1997) Sarcomatoid hepatocellular carcinoma with osteoclast-like giant cells: case report and immunohisto- chemical observations. Pathol Int 47(5): 318-324.
- Ikeda T, Seki S, Maki M, Noguchi N, Kawamura T, et al. (2003) Hepatocellular carcinoma with osteoclast-like giant cells: possibility of osteoclastogenesis by hepatocyte-derived cells. Pathol Int 53(7): 450-456.
- Rudloff U, Gao ZQ, Fields S, Gecelter GR (2005) Osteoclast-like giant cell tumor of the liver: a rare neoplasm with an aggressive clinical course. J Gastrointest Surg 9(2): 207-214.
- Ahaouche M, Cazals-Hatem D, Sommacale D, Cadranel JF, Belghiti J, et al. (2005) A malignant hepatic tumour with osteoclast-like giant cells. Histopathology 46(5): 590-592.
- Westra WH, Sturm P, Drillenburg P, Choti MA, Klimstra DS, et al. (1998) K-ras oncogene mutations in osteoclast-like giant cell tumors of the pancreas and liver: genetic evidence to support origin from the duct Am J Surg Pathol 22(10): 1247-1254.

















